22.11.2017

Physiotherapie - Stabilitätstraining Knie und Fussgelenk

In der Reha/Physiotherapie aber auch im Fitnesstraining ist das Stabilitätstraining eine wichtige Komponente der Grundmotorischen Fähigkeiten. Auf einem Bein stehen, mit geöffneten oder geschlossenen Augen, wer kennt das nicht. Trotzdem möchte ich einige kritische Bemerkungen dazu machen

Weiterlesen

08.11.2017

Gesunde Knochen bei Kindern

Einen Frage welche wir regelmässig hören von Eltern „mein Kind springt runter von jedem Baum oder Mauer, ist dies nicht schädlich“?

Weiterlesen

25.10.2017

Irrtümer betreffend Plank Übungen

Bei Plank Übungen wird behauptet, dass es Rückenschmerzen vorbeugt, dass die Bauchmuskeln trainiert werden, dass es die Wirbelsäule stabilisiert und dass es ein positives Zeichen von körperlicher Fitness ist, wenn man die Position möglichst lange Zeit behalten kann. Warum dies nur teils stimmt erzähle ich dir jetzt.

Weiterlesen

11.10.2017

Muskuläres Ungleichgewicht – Dysbalance

Sicher hast du schon einmal von dem Begriff muskuläre Dysbalance gehört. Man bekommt bei dem Begriff Dysbalance den Eindruck, dass etwas nicht stimmt, dass etwas nicht im Gleichgewicht ist. Ist das aber auch so?

Weiterlesen

13.09.2017

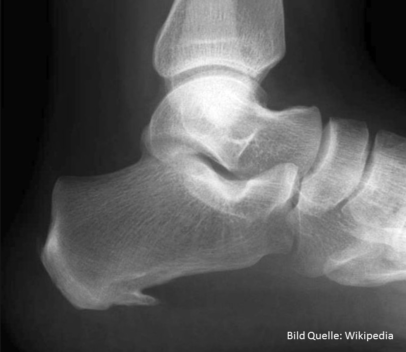
Sportverletzungen - Das verletzte Sprunggelenk

Eine der häufigsten Verletzungen im Sport betrifft das Sprunggelenk. Bänderrisse, Überdehnungen usw. sorgen dafür, dass Sportler zum Teil langfristig verletzt sind. Im Gastbeitrag von Dr.med. Niklas Renner, Facharzt für Orthopädie und Traumatologie des Bewegungsapparates FMH kannst du viel Wissenswertes über dein Sprunggelenk erfahren.

Weiterlesen

19.07.2017

Fersensporn - Ursache und Behandlung

Einer der lästigsten Physiotherapeutischen Behandlungen ist die von einem Fersensporn. Beschwerden unter deinem Fuss welche stechende Schmerzen verursachen. In diesem Beitrag mehr zu den Ursachen und Behandlung von Fersensporn.

Weiterlesen